"A novel domain reveals details of the TAP/p15 interaction in nuclear export"
(web supplements)

Suyama M, Doerks T, Braun IC, Sattler M, Izaurralde E, and Bork P


modular architecture
Figure 1. Modular architecture of proteins with NTF2-like domains. The numbers indicate the lengths of the sequences in residues; the protein names correspond to Figure 1b, accession numbers are given in parentheses. Abbreviations: LR, leucine-rich repeat; UBA, ubiquitin-associated domain; RRM, RNA recognition motif; S_TKc, catalytic domain of serine/threonine protein kinase. The significant sequence similarity of the C-terminus of TAP to UBA [Hofmann and Bucher 1996] domains was identified using PSI-BLAST [Altshul et al. 1997]. Several UBA-like domains were highest ranking in the twilight zone hits with E values of 0.76 and above. The similarity was confirmed by MACAW analysis [Schuler et al. 1991] for about a half length of the alignment (P-values < 1e-50). The known structure of UBA domains [Dieckmann et al. 1998] suggests a conserved loop (NWD at position 593 in human TAP) to be involved in the interactions. A respective D595R mutation indeed interrupts binding to nucleoporins (see Figure 7).

alignment of NTF2-like domain
Figure 2. Multiple alignment of selected NTF2-like domains. The sequences are grouped into four subfamilies according to the domain organization of entire proteins (Figure 1): (I) TAP; (II) G3BP; (III) plant protein kinases, and (IV) NTF2. First column, protein names; second column, species names: At, Arabidopsis thaliana; Ce, Caenorhabditis elegans; Dm, Drosophila melanogaster; Hs, Homo sapiens; Nc, Neurospora crassa; Nt, Nicotiana tabacum; Rn, Rattus norvegicus; Sc, Saccharomyces cerevisiae; Sp, Schizosaccharomyces pombe; Xl, Xenopus laevis; third column, positions of the first aligned residues in each of the sequences; last column, database accession numbers. The multiple sequence alignment of the sequences was constructed by CLUSTAL W [Thompson et al. 1994] and manually refined on the SEAVIEW alignment editor [Galtier et al. 1996]. The positions conserved in 80% of the sequences are indicated in the consensus line: c (DEHKR), charged; h (ACFGHIKLMRTVWY), hydrophobic; l (ILV), aliphatic; p (CDEHKNQRST), polar; s (ACDGNPSTV), small; t (ACDEGHKNQRST), turn like; u (AGS), tiny. The positions conserved among the four subfamilies are indicated in boldfaced characters with colors: cyan, hydrophobic; green, tiny; blue, hydroxyl; black, polar. The random mutations of tripeptides to alanines are highlighted in gray. The designed point mutations that are mentioned in the text are underlined; the colors of the corresponding asterisks indicate the phenotypic effect: red, loss of the binding; cyan, no obvious effect. Mutations and binding assays were performed as described by Braun et al. [1999]. The known secondary structure of rat NTF2 is indicated below the consensus line (H, alpha-helix; E, beta-strand) and agrees well with the predicted secondary structure [Rost and Sander 1994] of TAP sequences. The surface accessibility below (0 low, 9 high) was calculated using the DSSP program [Kabsch and Sander 1983]. The dimer contact (bottom line) has been derived by subtracting accessible surface area of the dimer from that of the monomer (i.e. the higher the numbers, the more involvement in the dimer contact).

3D model
Figure 3. Proposed model of the interaction between the middle domain of TAP and p15. The model structure is calculated [Sali and Blundell 1993] based on the 3D structure of the homodimer of NTF2 [Bullock et al. 1996]. Cyan: TAP, green: p15. The side chains are shown for positions where mutations were introduced: red, loss of the binding; dark blue/dark green (TAP/p15), same as with the wild-type. Residue numbers are indicated for the designed point mutations. Numbers below and above 400 denote residues in p15 and TAP, respectively. The triple alanine mutations are shown in gray. The figure was prepared using MOLMOL [Koradi et al. 1996].

Fig1 (GIF IMAGE)
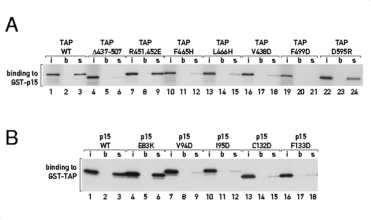
Figure 4. (A) GST pull-down assays were performed with [35S]methionine labelled TAP or various TAP mutants and immobilised GST-p15 on glutathione agarose beads. One tenth of the input (i) and one quarter of the bound fractions (s) were analysed on SDS-PAGE followed by fluorography. Lanes (b) show the background obtained with glutathione agarose beads coated with GST. (B) GST pull-down assays were performed with [35S]methionine labelled p15 or various p15 mutants and immobilised GST-TAP on glutathione agarose beads. Symbols are as in A. GST pull-down assays were performed as described by Bachi et al. [2000].

Multiple
 alignment of uba domain
Figure 5. Multiple alignment of UBA domains. See legend of Figure 2 for description of columns. Species names (other than those in Figure 2): Mm, Mus musculus; Tt, Thermus thermophilus; Ec, Escherichia coli. Highly conserved position are indicated by boldfaced characters and/or colors: blue, hydrophobic; boldfaced in black, negatively charged; boldfaced in blue, aromatic. The mutation, D595R, which interrupts binding to nucleoporins, are indicated by a red asterisk. The known secondary structures of 1uba and 1eftu are indicated below the consensus line (H, alpha-helix; E, beta-strand). The predicted secondary structure, which follows the known secondary structures, was calculated by the PHD program [Rost and Sander 1994]. The surface accessibility below (0 low, 9 high) was calculated using the DSSP program [Kabsch and Sander 1983].

structure of uba domain
Figure 6. Structure of 1uba. The red side chain indicates the position corresponding to TAP D595. The figure was prepared using MOLMOL [Koradi et al. 1996].

Fig7 (GIF IMAGE)
Figure 7. Uper panel: GST pull-down assays were performed with [35S]methionine labelled p15 or the nucleoporins indicated on the left of the panels and GST, GST-TAP, GST-TAP D595R or GST-TAP(delta)567-613 as indicated above the lanes. One tenth of the input and one quarter of the bound fractions were analysed on SDS-PAGE followed by fluorography. Lower Panel: Domain organisation of human TAP protein. TAP domains defined in previous studies are indicated (Braun et al., 1999; Bachi et al., 2000). The predicted folding within the LRRs is shown diagramatically. The transportin binding site defined overlaps with the previously identified TAP NLS.

References